Decay
むし歯治療
できる限り痛みを抑えた
治療を心がけています。
虫歯の治療を行う際に「痛い」と感じるのは、麻酔を入れるための針をさす時と麻酔薬を注入する時と虫歯を削る時です。 特に麻酔を打つ際に、当院では下記3点に注意を払い、できる限り痛みを抑えた治療を心がけています。

表面麻酔を塗布し、使用する針にもこだわる
針を刺す前に表面麻酔を塗布し、感覚をなくしていきます。また、極細の針を使用するので、針を刺す際の痛みは感じません。
注射する針の向きにこだわる
針を刺す前に表面麻酔を塗布し、感覚をなくしていきます。当院での麻酔注射は電動ではなく手動のものを使用しています。手動のほうが針の向きの調節がしやすく、患者さまが痛みを感じずに、麻酔を全体に届かせることができるからです。
口腔内の特徴をよく見る
例えば、歯ぎしりをよくする方は、歯の下の骨密度が高く、麻酔が十分に行き届きません。そこで歯硬膜麻酔といって、場所を変えつつ入念に麻酔を行っていきます。これにより、治療部位に十分麻酔をかけることができ、痛みを感じない治療が行えます。
なるべく削らない治療を心がける

その一番の理由は、歯も体の一部だからです。歯や神経が残っていれば、痛みやしみる感覚も残るので、口腔内の異常にいち早く気づくことができます。「自分の歯の感覚で過ごしていただく」それが最も大事だと私たちは考えています。一本一本の歯を大事にし、いつまでも健康な歯でいられるための治療を私たちは提案し続けていきます。
当院で行う虫歯予防
お口の健康だけでなく、身体全体の事を考えて予防歯科治療を行います。
新規の患者さまにはまず口腔内レントゲンの撮影を行います。虫歯だけでなく歯石や他のお口の病気も発見できるので、虫歯の予防にもつながります。
また歯科医師や歯科衛生士による定期的なメンテナンスにおいても、虫歯を発見することがあります。その場合にも歯科医を介して適切な治療法を提案いたします。
初めての方への予防検査
レントゲン撮影
まずはレントゲン撮影を行い、歯や骨の状態を詳しく確認します。
目では見えにくい虫歯の進行や歯周病の影響などを把握し、正確な診断のための基礎情報を集めます。
歯周ポケットの検査
続いて、歯と歯ぐきの間にある「歯周ポケット」の深さを測り、出血や炎症の有無を丁寧にチェックします。
現在の歯周病の進行度や歯ぐきの健康状態を評価し、今後の治療・予防計画に役立てます。
歯石取り(スケーリング)
検査結果をふまえ、歯周病の原因となる歯石やプラークを専用の器具でしっかり取り除きます。
歯ぐきの炎症を和らげ、健康な状態を維持するための基本となる大切な処置です。
虫歯予防の取り組み
ブラッシング指導でお口への関心を高めていただく

歯科医師や歯科衛生士によるブラッシング指導を行います。
患者さま一人一人に合った歯ブラシや歯間ブラシなどの当て方・使い方を提案し、患者さまが家庭でも十分なプラークコントロールが出来るように支援いたします。
フッ素塗布で歯を強くする
フッ素を塗ることで歯が丈夫になり、虫歯菌の出す酸に対してより抵抗力が増します。虫歯を防ぐ効果的な方法が、このフッ素塗布なのです。
当院では歯科医院でしか扱えない高濃度フッ素を、専用のトレーを使って歯全体に塗布していきます。フッ素塗布は3ヶ月に1回行うことをお勧めいたします。(※保険適用外になります。)

フッ素の働きについて
再石灰化を助けます
プラークの中でつくられる「酸」によって、歯の表面からカルシウムイオンやリン酸イオンなどのミネラルが溶け出すことを脱灰といいます。脱灰が進むと虫歯になります。しかし、初期の脱灰であれば、唾液に含まれるカルシウムやリン酸イオンが歯に戻り、自然に修復されます。これが再石灰化です。フッ素は、この再石灰化の働きをより効率的に進め、初期虫歯の修復を助けます。

プラークがつくる「酸」を抑えます
フッ素は、歯磨きで取りきれなかったプラークに作用し、そこからつくられる酸の産生を抑える働きがあります。
これにより、脱灰が起こりにくい環境をつくります。

歯の質を強くする
フッ素が歯に取り込まれることで、酸に溶けにくい強い歯質に変化します。
その結果、虫歯に対して抵抗力の高い歯をつくることができます。

自宅で行っていただく虫歯予防について
歯を磨くときの注意点
歯磨き粉はフッ素入りのものを使いましょう。また歯を磨くときは、「ながら磨き」は絶対に止めてください。テレビを観ながら、携帯をいじりながら、というのは厳禁です。磨いているところを意識していただかないと、歯に付いた汚れは十分に落とせません。
また基本的なことですが、毎日磨くことを心がけましょう。お酒を飲んだ日など、「面倒だからいいや」と磨かずに眠ってしまうのは赤信号。お酒を飲むとお口の中が乾燥しやすく、虫歯菌にとっては繁殖する絶好の機会です。
普段の生活での予防
お口の中が酸性になっていると、虫歯菌が繁殖しやすいので注意が必要です。飴をよく舐める、炭酸や酸っぱいものが好き、という方は特に気をつけてください。お口を中性に保ってくれるのが唾液です。唾液をたくさん作るためにも、ガムを噛むといったことも予防になります。
Periodontics
歯周病治療
ひょっとしたら歯周病かも?
歯周病とは、菌が歯の周りにある歯肉の隙間から侵入し、支えている骨を溶かしたり炎症を起こしたりする病気です。
下記のようなお悩みを抱えている方は、歯周病にかかっている可能性があります。
- 歯磨きをしていると血が出る
- 口臭が気になる
- 体が疲れると歯肉が腫れる
- 食べているとき歯がグラグラして硬いものが食べられない

歯周病は生活習慣を見直すことが重要です
歯周病は食事や喫煙、普段している癖など、色々な要素が絡み合って発生するものです。ですので、歯周病を治せたとしても、生活習慣が改善されていないと再発する恐れがあります。そこで、私たちは患者さまへの生活習慣の見直しについて親身になってお話を伺い、心がけていただいたほうがいいことをお伝えさせていただきます。
歯周病は気付かないうちに進行しています
歯周病はほとんど痛みを伴わずに進行していくので、発見が遅くなってしまう場合が多く見られます。
歯茎が上がってきたとか、口臭がひどくなってきたなど、少しでも気になることがあったら歯医者さんに診てもらうようにしてください。
歯周病を放っておくリスクについて
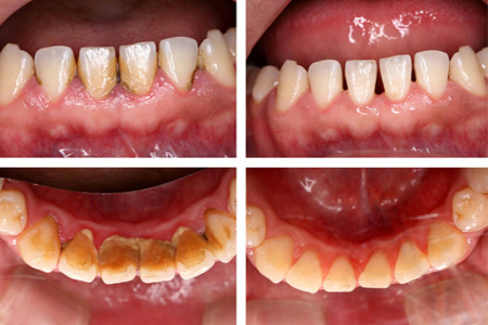
歯周病を放っておくと、歯を支えている組織が減っていき、歯がぐらつき始めます。また炎症の進行によっては膿が出てきて口臭もひどくなり、やがて歯が抜けてしまいます。歯周病の症状はお口の中だけにとどまりません。全身疾患を引き起こす可能性があります。歯の周辺から入り込んだ歯周病菌が体中に広がり、肺炎や心臓病、糖尿病など、様々な病気の引き金となるのです。たかがお口の病気とあなどらず、日ごろのセルフケア、定期検診をお勧めします。

歯周病の進行度合いの検査手順
- レントゲン撮影
- 歯周ポケット検査(出血の有無、歯の揺れ具合などの調査)
- 口腔内写真の撮影
- ヒアリングにて生活習慣と歯周病との関連性のチェック
歯周病の治療方法と予防方法
歯周病検査・問診(歯ブラシ指導)
- 歯周ポケットの深さ・出血の有無・歯の揺れ具合を調べていきます。
- 歯周治療問診票を記入して頂く事により、その方の生活習慣と歯周病との関連を調べていきます。
- 歯ブラシ指導では日頃どのような歯ブラシを使用されているのか?力の入れ具合や当て方などを確認していきます。


口腔内写真・レントゲン撮影
歯周病治療を開始する前と治療終了時、もしくは歯周外科前後のお口の状態を写真やレントゲンに記録しておきます。歯周病がかなり進行してしまっている方は小さいレントゲンを14枚撮影することにより、歯根の形、歯石の有無、骨の欠損状態を把握し、効率的な歯石除去に役立たせます。
※ただし、術前・術後レントゲン14枚法は、フィルム代5,500円とさせて頂きます。
(保険の関係上、パノラマレントゲンとの併用算定が認められておりません。 ご迷惑お掛け致します。)

スケーリング&ルートプレーニング
歯面に付着した歯石を取っていきます。歯石は歯垢が唾液と反応し、石のように固く歯面に付着するため、歯ブラシでは取り除くことが出来ません。歯科衛生士が超音波振動する機器やハンドインスツルメントを使って丁寧に歯石を取っていきます。歯石を除去することで、歯の表面を滑沢にしてプラークの付着を減少させると共に、歯周ポケット内の環境の改善と歯肉の炎症を取り除くことで、歯周ポケットを浅くしていきます。
※保険診療において歯石除去の治療回数は、患者さまの歯の本数によって決められています。 普通の健康的な歯肉の方で検査を含め5~6回が目安となります。

研磨
歯石除去で粗くなった歯面を滑沢に磨いて、プラーク&歯石の再付着を防止します。

再評価
術前に行った検査と同様に術後の検査も行い、良くなった部分・悪くなった部分どのように変化したのかを考察し、さらに治療が必要な場合には患者さんと話合いの末、歯周外科に移行していきます。
歯周外科は通常は保険にて治療を行いますが、場合によって人工骨や再生療法といった保険適応外の材料を使用する場合がございます。その場合にはきちんとご説明致します。

PMTC(Professional Mechanical Teeth Cleaning)
歯の表面に付着したプラーク(歯垢)や着色、ヤニを取り除いて、本来の歯の白さを取り戻します。専用の機器と研磨ペーストを用いてツルツルにいたします。術後24時間は出来るだけ着色しやすいご飲食は御控え下さい。
※PMTCは保険適用外となります。料金についてはこちらをご覧ください。
※効果には個人差がございます。


フッ素塗布
フッ素を歯に作用させると、歯の表面から取り込まれ、歯の結晶(アパタイト)の一部となります。フッ素を含んだ歯の結晶は普通の歯の結晶よりも丈夫になり、虫歯菌の出す酸に対してより抵抗力が強くなります。したがって、フッ素を適切に使うと歯の表面が強くなり、虫歯になるのを防ぎます。
また歯のエナメル質の周りにフッ素があると、一度脱灰(むし歯になる前の状態)した部分の再石灰化を促進し、エナメル質の補修がしやすくなります。専用のトレーを使って、フッ素塗布を行います
※フッ素塗布は保険適用外となります。料金についてはこちらをご覧ください。

Joint Disorder
顎関節症の治療
顎の関節に違和感はありませんか?
正常な噛み合わせを作ることによる顎関節症の治療を行います。
噛み合せを正常な位置に戻す事により、お口の周りにある筋肉を正常に動かす事ができます。就寝時にマウスピースを入れて頂くと、歯ぎしりや喰いしばりなどで凝った口周囲の筋肉が徐々に緩和されてきます。それにより筋肉が本来生まれ持った位置に戻ろうとしかみ合わせは改善されていきます。患者さまによってそれぞれですので、気になっている方はお気軽にご相談下さい。

こんな症状があるときは、顎関節症かもしれません。
- 口を開けると顎がカクカク、ジャリジャリ鳴る
- 口が大きく開かない
- 顎の関節が痛む
- 咬み合わせに違和感がある
- 食事をするだけで顎が疲れる
- 顎がうまく動かない 等
顎関節症の検査について
顎関節症の治療では、まずレントゲンを撮って顎の位置と圧痛部位という筋肉の中で痛みを感じる部分を詳しく確認します。
お口の開閉に関わる筋肉は、複数の小さな筋肉がありますが、筋肉の硬さやどの部分で痛みを感じるかを伺ったりしながら細かく調べていきます。
また、「首の傾き」や「顔面の左右で高さが違う」などの見た目でわかる骨格の歪みも考慮しながら、診断を行います。

顎スプリント療法について

顎関節症の治療は、顎の状態や症状の度合いによって異なりますが、当院では適応が認められる場合はマウスピースを利用したスプリント療法と呼ばれる方法を取り入れています。
スプリント療法は、噛み合わせに合わせたマウスピースをお作りして、就寝時に装着していただきます。
これにより就寝中にかかる圧力を軽減し、顎の位置をリラックスさせる効果が期待できます。
さらに、マウスピースは寝ている間の歯ぎしりや食いしばり等によって歯に負担がかかることを防ぐナイトガードとしての役割も担っています。
顎関節症の症状緩和を促しながら、就寝時の歯や顎を守ります。