歯を美しく見せることの
メリットについて
歯を美しくする最大のメリットは、出会うたくさんの人に清潔感と幸福感を与えられることです。
審美歯科で、患者さまの人生が大きく変わることもあります。食事ももっと楽しく美味しくなります。 「いい歯でいい人生」を合言葉に、患者さまの歯をきれいにするお手伝いを、ぜひ私たちにさせてください。

Whitening
ホワイトニング
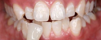
ホワイトニングとは、専用の薬剤を用いて歯の色を明るくする施術です。
アメリカでは一般家庭でも広く行われており、最近では日本でも希望される患者さまが増えてきています。 当院のホワイトニングにはオフィスホワイトニングとホームホワイトニングの2種類があります。現在の歯の色にもよりますが、一般的な白さを求める場合は、オフィスホワイトニング2~3回もしくはオフィス1回+ホームホワイトニングの併用をおすすめしております。どのくらい白くなるか不安をお持ちの患者さまも多いと思います。当院ではまず歯石除去を行った後、お試しとして1回オフィスホワイトニングを受けていただくことをおすすめしております。どの程度白くなったか確認していただいた後に、患者さまにオフィスホワイトニングを続けるか、ホームホワイトニングを行うか判断していただくようにしています。
オフィスホワイトニング
歯科医院にて、歯科医師・歯科衛生士が専用の薬剤を使用して行う方法です。1回の施術は説明を含めて約1時間で完了します(初回は説明のため少しお時間をいただきます)。

ホームホワイトニング
患者さまご自身がご自宅で行うホワイトニングです。専用のマウストレーに薬剤を入れ、1日約2時間ほど装着していただくことで徐々に歯を白くしていきます。自然な白さを長期間維持しやすいのが特徴です。

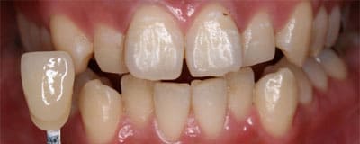
ホワイトニング治療の症例
| 治療内容 | オフィスホワイトニング |
| 治療期間・回数 | 1回/12本 |
| 費用 | 26,400円(税込) |
| 副作用・リスク | 下記をご参照ください |


副作用・リスクについて
- 一時的にしみるような知覚過敏の症状が出ることがあります。多くはすぐに落ち着きますが、まれに強く感じる場合があります。
- 歯肉やお口の粘膜に刺激や軽い痛みを感じることがあります。薬剤が歯ぐきに触れた場合などに、一時的な炎症が起こることがあります。
- 詰め物・被せ物などの人工歯は色が変わらないため、天然歯との色の差が出る場合があります。
- 白さの現れ方や持続期間には個人差があります。生活習慣や歯の質によって、希望する白さに届かないことがある場合もあります。
- 妊娠中・授乳中の方、無カタラーゼ症の方などは、ホワイトニングをご利用いただけないことがあります。
料金表
| オフィスホワイトニング 1回 (上下歯10本~/1本2,200円) | 22,000円(税込) |
| ホームホワイトニング スターティングキット(上下顎) | 38,500円(税込) |
| ホームホワイトニング ペースト(追加用) | 5,500円(税込) |
Cleaning
歯のクリーニング
PMTC
クリーニングでお口の中がサッパリ。汚れもきれいに落ち、虫歯や歯周病の予防にもなります。
歯の汚れやヤニは歯のクリーニング(PMTC)で落とすことができます。中には気持ちが良くて寝てしまわれる方もいらっしゃいます。歯石除去のみであれば、保険適用が可能です。

PMTCの特徴
- 歯の表面についた着色やヤニを取り除きます。
- 歯ブラシでは取れない汚れを除去し、健康な歯肉が生まれます。
- 虫歯・歯周病予防にもなり、口臭の改善効果が期待できます。
フッ素塗布
歯の表面にフッ素を塗ることで、歯質を強くし、虫歯になりにくい環境をつくります。特にお子さまの虫歯予防に効果的ですが、大人の方もエナメル質の強化に役立ちます。短時間で完了し、痛みもありませんので、定期的なPMTCと併せて受けていただくことで、より高い予防効果が期待できます。

PMTCの症例
| 治療内容 | PMTC(エアーフロータイプ) |
| 治療期間・回数 | 1回/30分~1時間 |
| 費用 | 6,600円(税込) |
| 副作用・リスク | 下記をご参照ください。 |


副作用・リスクについて
- 施術後に、歯がしみるように感じることがあります。多くは短時間で落ち着きますが、まれに強く感じる場合があります。
- 歯ぐきやお口の粘膜に軽い刺激や違和感が出ることがあります。器具が当たったり薬剤が触れたりした際に、一時的に炎症が起こることがあります。
- 予防効果の現れ方には個人差があります。お口の状態や生活習慣によって、実感までの期間が異なることがあります。
料金表
| PMTC (ブラシタイプ:30分~1時間) | 4,400円(税込) |
| PMTC (エアーフロータイプ:30分~1時間) | 6,600円(税込) |
| フッ素塗布(1口腔) | 2,200円(税込) |
Ceramic
セラミック治療
セラミック治療は、自然な見た目と高い耐久性を兼ね備えた材料を使って、歯の形や色を整える治療方法です。透明感のある仕上がりが特徴で、天然歯に近い美しさが期待できます。また、金属を使用しないため、金属アレルギーの心配が少なく、歯ぐきが黒ずむといったトラブルも起こりにくい点がメリットです。
見た目だけでなく、汚れが付着しにくい素材のため、お口全体の健康維持にも役立つとされています。
保険診療の場合
保険診療では、レジン(樹脂)やCAD/CAMという歯科用プラスチック素材を使用して、歯を白く見せることができます。見た目を改善しながら治療を行える点がメリットです。ただし、これらの素材は金属やセラミックに比べると強度が劣るため、歯ぎしり・食いしばり・咬みしめなどの癖がある方の場合、欠けたり割れたりして再治療が必要になることがあります。そのため、まずはお口全体の状態を丁寧に確認し、保険診療での材料が適しているかどうかを慎重に判断したうえでご提案いたします。

自由診療の場合

自由診療では、より審美性・耐久性に優れた素材を選ぶことができます。なかでもオールジルコニアは、天然歯に近い色調と透明感を持ち、強度が高く、欠けにくい丈夫な素材です。保険診療で用いる材料に比べて長持ちしやすい点も特長です。見た目の美しさや耐久性を重視される方におすすめの治療方法です。
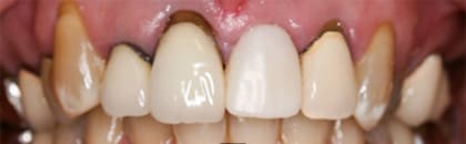
セラミック治療の症例
| 治療内容 | セラミック |
| 治療内容詳細 | 前歯4本の被せ物の下の黒ずみを改善するため、仮歯に置き換えた上で全顎的に歯周基本治療を行い、歯肉炎症を改善。再評価後、患者希望により前歯4本をセラミックで修復しました。 |
| 治療期間・回数 | 約3か月(全顎的な治療を含む)/10回程度 |
| 費用 | 仮歯代:3,300円(税込)× 4本 セラミック代:110,000円(税込) × 4本 歯周基本治療:健康保険内 |
| 副作用・リスク | ・根の治療が必要な場合は期間が長くなることがあります。 ・保険の白い被せ物でも治療は可能です。 ・歯肉炎症が残ったまま被せると、歯肉が下がり再度虫歯になることがあります。 |


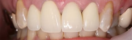
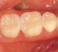
| 治療内容 | オールジルコニア(インレー) |
| 治療内容詳細 | 保険治療で部分的に金属が入っている歯を、白く美しい歯(オールジルコニアインレー)に置き換えました。 |
| 治療期間・回数 | 金属の入っている歯1本あたり2〜3回 ※虫歯の大きさによって回数が変わることがあります。 |
| 費用 | 1本:71,500円~88,000円(税込) |
| 副作用・リスク | 下記をご参照ください。 |


副作用・リスクについて
- 治療直後に、歯がしみるように感じることがあります。多くは一時的ですが、まれに症状が続く場合があります。
- 歯ぐきに軽い炎症や違和感が出ることがあります。被せ物の調整中に刺激が加わった際などに、一時的に起こることがあります。
- セラミックは割れにくい素材ですが、強い歯ぎしりや咬みしめがある場合、欠けたり割れたりすることがあります。
- 天然歯と比べて色の変化が少ないため、周囲の歯の色調が変わった際に、色の違いが気になる場合があります。
- かみ合わせの調整が必要になることがあります。違和感がある場合は、再調整を行うことがあります。
- 治療結果や持続性には個人差があります。生活習慣やお口の状態によって、期待される効果に差が出ることがあります。
料金表
| オールジルコニア インレー法 | 71,500~82,500円(税込) |
| オールジルコニア クラウン法 | 88,000~121,000円(税込) |
※前歯は色調を合わせるためのジルコニア築盛により+33,000円
※e-maxなどもございますので、まずはお気軽にご相談ください。
オールジルコニア(インレー・クラウン)とは?
オールジルコニアは、100%歯科用セラミックで作られた非常に強度の高い素材です。
臼歯部やブリッジなど、噛む力が強くかかる部位にも安心して使用できます。
前歯部には、強度を保ちながら審美的な透明感のある素材を使用し、自然な見た目に仕上げます。
金属を全く使用しないため、金属アレルギーの心配はありません。
ただし、歯の神経が残っている場合、素材が硬いために一時的にしみたり、噛んだときに痛みを感じることがあります。
e-maxとは?
e-maxは、セラミックの一種であるガラスセラミックスを強化した素材です。
透明感があり、天然歯に近い自然な色や美しさを再現できるため、前歯など審美性を重視する部位に適しています。
ただし、強度が十分でない場合もあるため、臼歯部など噛む力が強くかかる部位には向かないことがあります。